近日,国际知名杂志Journal of Controlled Release(1区,IF 7.727),在线发表了williamhill官网·中西医结合公司孙东东副研究员与苏州大学汪超教授共同通讯作者的研究论文“Platelet-derived extracellular vesicles to target plaque inflammation for effective anti-atherosclerotic therapy”。

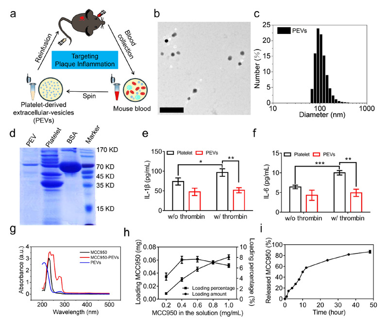
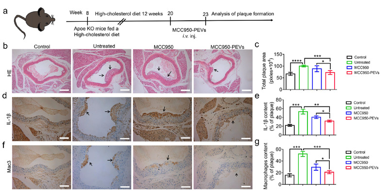
动脉粥样硬化( atherosclerosis)作为一种慢性炎性疾病,其特征在于局部免疫反应的功能障碍。本实验设计了一种由血小板衍生的细胞外囊泡(PEV)以加载NLRP3炎性体抑制剂MCC950,用于动脉粥样硬化靶向治疗。体内活性结果表明,来源于激活血小板的PEV,可以选择性结合多种与体内动脉粥样硬化斑块形成有关的细胞。与对照组比较,静脉给药MCC950-PEV可以显著减少动脉粥样硬化斑块的形成,且可以降低局部炎症反应,同时抑制斑块部位巨噬细胞和T细胞的增殖。动脉粥样硬化是几乎所有获得性动脉疾病的病因。也是心脑血管疾病发病的重要病理过程,其发生的一个重要因素是它具有复杂的炎症过程。相关研究亦表明,动脉粥样硬化与肿瘤的发病过程有着类似的危险因素、病因病机及病理过程,临床治法用药实践也表明2种疾病的治疗可相互借鉴、实现异病同治。本研究提供的药物递送策略将为肿瘤以及炎性相关疾病的中西医结合防治提供新策略、新参考。


该研究获得国家自然科学基金、江苏高校优势团队建设工程-中西医结合等项目的资助。原文链接:https://www.sciencedirect.com/science/article/pii/S0168365920307215