近日,中国科技期刊卓越行动计划领军期刊Signal Transduction and Targeted Therapy(IF 13.493),在线发表了williamhill官网×中西医结合公司孙东东副研究员、陶伟伟副教授、药公司张峰副教授第一作者,江苏省中医药防治肿瘤协同创新中心程海波教授、杨烨教授通讯作者的研究论文“Trifolirhizin induces autophagy-dependent apoptosis in colon cancer via AMPK/mTOR signaling”。

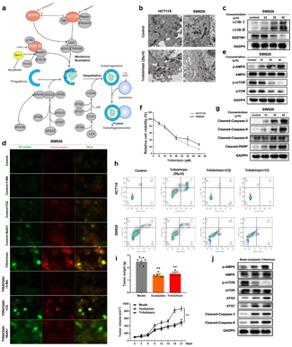
自噬与肿瘤的发生发展及传变转归等密切相关,课题组前期研究发现自噬作为中医癌毒病机的重要生物学基础,可作为中医药防治肿瘤的关键靶标。临床研究表明,基于癌毒病机理论指导创制的“仙连颗粒”针对大肠癌湿热瘀毒证具有良好疗效。为进一步揭示其抗肿瘤作用的内在机制,经筛选研究发现,方中源自清热燥湿药苦参的活性成分三叶豆紫檀苷能够有效抑制人结直肠癌细胞增殖,并诱导其凋亡,且自噬作用参与了其中关键环节。进一步研究表明,三叶豆紫檀苷通过AMPK/mTOR信号通路诱导结肠癌细胞发生自噬依赖性凋亡,而敲减及阻断实验也支持这一现象,同时该观点在异种移植瘤小鼠模型中亦得到了验证。研究还发现,三叶豆紫檀苷能够抑制自噬阻止肿瘤细胞的增殖和迁移,而对正常的组织没有显示出相关毒性。上述结果表明,自噬可能与“癌毒自养、癌毒流注”等肿瘤致病机制紧密关联,这也为丰富发展清热解毒药防治肿瘤的生物学内涵提供了依据,同时提示三叶豆紫檀苷可作为结直肠肿瘤防治的候选或先导化合物。

该研究获得国家自然科学基金、国家重点研发计划、江苏高校优势团队建设工程等项目的资助。